December 12, 2010
By Dr Stuart Jeanne Bramhall
It took decades to "prove" that even low-level lead exposure caused mental retardation and behavioral problems in children. In 1973 when I graduated from medical school, there was a mountain of compelling evidence of the terrible things lead in paint and auto exhaust was doing to kids. However under pressure from corporate interests (the companies who put lead in gasoline and paint), the medical establishment still officially proclaimed that at "subclinical levels," lead was totally safe.
Fortunately Nixon's newly created Environmental Protection Agency stood up to the corporate elite in 1973. Taking the emphatic position that even low-level lead exposure was posing a direct threat to public health, they ultimately forced the US auto industry (in 1975) to install catalytic converters in cars, to enable them to run on unleaded fuel. The use of lead-based paint in homes was banned in 1978.
A Regulatory Agency that Refuses to Regulate
Unfortunately, despite overwhelming evidence that fluoride has the same effect as lead in lab animals and children, In 2010 the EPA has virtually ceased to perform any meaningful regulatory function. Which is most unfortunate, given that many US municipalities still put fluoride in the public drinking water (which can't be removed by simple filtration and is found in many brands of bottled water).
It boggles the mind that communities across the US continue to mass medicate their residents without their consent -" with a substance that has never been approved by the Food and Drug Administration (it's actually unpurified toxic waste from the agricultural phosphate industry and contains heavy metals and radionucleotides). Not only does this constitute a major civil rights infringement, but it poses far more danger to human health than the TSA full body scanners at airports.
Established Link to Hip Fractures, Bone Cancer and Liver Cancer
The evidence linking water fluoridation to hip fractures, bone cancer, and liver cancer is unequivocal. In 2006, after three years of study, doctors, chemists, toxicologists and other researchers appointed by the National Research Council concluded the preponderance of evidence showed that water fluoridation was causing an increase in hip fractures and bone and liver cancer, in addition to its neurotoxic effects in children (see http://www.fluoridealert.org/nrc-review.htm). They also found strong evidence that it was contributing to an epidemic of hypothyroidism, infertility and arthritis in Americans (1/3 of Americans suffer from arthritis). However they felt more research was needed in these areas. Nevertheless they felt the established health risks were so serious, they strongly recommended all water fluoridation be stopped while additional studies were completed. There is an excellent 98 minute interview with some of these scientists at http://blip.tv/file/2223981/.
Fraudulent Science
One area they didn't explore, which BBC investigative journalist Christopher Bryson covers in his 2004 book Fluoride Deception, is the systematic way that corporate interests have "doctored" fluoride research. One common practice was to selectively publish research favorable to fluoride, while simultaneously firing and blacklisting scientists whose studies showed otherwise. Scientists who research medical problems related to genetically modified foods face the same problem -" their work is suppressed, while they themselves are fired and blacklisted. Thanks to Bryson others, who obtained dozens of secret documents regarding water fluoridation via the Freedom of Information Act, the full extent of this massive fraud is finally in the public domain.

The Fluoride Deception by Fluoride Action Network
The Decision to Fluoridate the Public Water Supply
As Christopher Bryson outlines in Fluoride Deception, the decision to deliberately dose US municipal water systems with a potent industrial toxin was basically a corporate scam dreamed up by Alcoa, General Motors, and DuPont in the thirties and forties - to stem a tide of lawsuits related to death and injuries from toxic fluoride pollution (by convincing the public that fluoride is good for you). Alcoa was involved because fluoride is an extremely toxic pollutant produced by aluminum smelting. GM and DuPont were involved because GM held the patent on fluoride-based Freon (DuPont manufactured it), a common refrigerant which has since been banned. Unsurprisingly the same corporate researchers who "proved" that fluoride was safe also tried to convince the American public that lead, asbestos, smoking and plutonium were safe.
Fluoride Declared Hazardous Waste in 1930
According to Bryson, scientists have known for decades that fluoride is extremely toxic - in fairly low doses - to all mammals, including humans. In fact the FDA first declared fluoride a serious health hazard in the early thirties. The result was scores of lawsuits by aluminum workers crippled and killed by fluoride poisoning and by farmers near aluminum plants, whose livestock were killed by fluoride emissions.
Public Relations: Cheaper than Pollution Controls
Rather than encouraging his employer to institute pollution controls, an Alcoa researcher named Francis Frary decided a better solution was to alter public perception of fluoride - by convincing Americans that it improved dental health. Frary approached Mellon Institute researcher Gerald Cox, who performed a single study in rats (who don't really suffer much tooth decay) in 1937 and "proved" that fluoride strengthened teeth. Around the same time, the same Gerald Cox also "proved" that mesothelioma (a rare lung cancer that killed Steve McQueen) wasn't caused by asbestos.
Back then the concept of peer reviewed research was unknown, and the American Medical Association declared that the "case for fluoride" was proved. It's clear that corporate largesse (from General Motors) was instrumental in getting the American Dental Association on board with water fluoridation. Whether the AMA also benefited from corporate generosity remains unclear.
Kettering Bribes the American Dental Association
Frary and Cox were soon joined in their little scam by Charles Kettering, who was both GM's research director and a Freon magnate. Kettering was the first to approach the American Dental Association with their proposal to fluoridate public water systems. He also began funding many of their activities and got appointed to their three member Advisory Committee on Research in Dental Caries.
Meanwhile GM and DuPont hired scientist Robert Kehoe to perform safety studies on both fluoride and tetra ethyl lead, a gasoline additive co-manufactured by the two companies. And for obvious reasons, Kehoe declared both lead and fluoride safe at "low levels."
Enter the Atomic Energy Commission and the Father of Public Relations
In the 1940s these corporate researchers were joined in their scheme to promote water fluoridation by Dr Harold Hodge the chief toxicologist of the Manhattan Project (the secret US project to build and atomic bomb).Hodge became involved in "Project F" because large amounts of fluoride are used in the construction of the atomic bomb, and the Atomic Energy Commission was concerned about heading off a flood of lawsuits from Manhattan Project scientists exposed to toxic levels of fluoride. This was the same Harold Hodge who, in his role as chief Manhattan Project toxicologist, experimented on unsuspecting patients at Rochester 's Strong Memorial Hospital , by injecting them with plutonium.
Nevertheless the most prominent villain in this sordid history of lies and secrecy was the infamous father of the public relations industry (i.e. the sophisticated use of propaganda to sway public opinion) Edward Bernays. There was massive public opposition to water fluoridation from the very beginning -" led mainly by doctors who were well aware of fluoride's toxicity. Bernays' answer was to enlist even more prominent doctors to declare it safe, starting with famous baby doctor Benjamin Spock.

Edward Bernays by NNDB

Bernays 1928 Book Propaganda by Statesman Sentinel
A Systematic Corporate Cover-Up
As Christopher Bryson outlines clearly in the Fluoride Deception, the whole notion of fluoride being safe and good for teeth is based on decades of corporations paying researchers to produce the scientific results they want -" and burying research and firing and blacklisting scientists whose studies show otherwise.
As Bryson points out, it was actually mass fluoride poisoning that kick-started the environmental movement, following an air pollution disaster in 1948 that killed 20 people and sickened hundreds more. A temperature inversion and air pollution from a US Steel factory is blamed for the Donora ( Pennsylvania ) Death Fog. However owing to extreme pressure from the steel and aluminum industry, public health authorities colluded in a systematic cover-up of the autopsy results - which revealed that the victims had toxic fluoride levels in their blood (see http://www.fluoridation.com/donora.htm).
GM fluoride researcher Charles Kettering also deliberately suppressed the results of his own lab's 1962 studies demonstrating that fluoride produced lung damage in beagles.
This sordid history also includes deliberate smear campaigns against extremely reputable doctors and scientists who published research and clinical findings showing that water fluoridation has adverse health effects:
* Dr. George Waldbott - a world famous doctor who first identified penicillin allergy and the link between smoking and emphysema. Waldbott published numerous double blind studies in the fifties showing that fluoride is harmful to human health. The result was a massive corporate smear campaign that destroyed his reputation by marginalizing and demonizing him.
* Dr William Marcus - a senior EPA toxicologist in the Office of Water, fired in 1992 for attempting to publicize studies revealing that fluoride causes bone and liver cancer (see http://www.gaia-health.com/articles251/000293-epa-scientists-oppose-fluoridation.shtml). In 1994 Marcus won lawsuit against the federal government and was reinstated. While the EPA still refuses to ban water fluoridation, the unions representing EPA scientists have called for a moratorium (see http://www.nteu280.org/Issues/Fluoride/Press%20Release.%20Fluoride.htm).
* Dr Phyllis Mullinix - research toxicologist hired by Forsyth Dental Institute to study the effect of fluoride on the brain. In the mid-nineties, Mullinex was first fired and then blacklisted in the when she published research showing that fluoride produces memory and behavior problems in children.
Where Does Fluoride Comes From?
Although fluoride is added to municipal water systems as a "drug" - that allegedly improves dental health - it has never been approved by the FDA. In fact most communities source their fluoride from the phosphate fertilizer industry, as hydrofluorosilicic acid. This is an extremely toxic, hazardous waste, and the EPA requires phosphate manufacturers to capture it via "wet scrubbers" in their chimneys (to prevent toxic fluoride gas from being released into the air). The resulting liquid is then loaded, unpurified, into tanker trucks and sold to cities to be added to their public water supply. In addition to fluoride, it also contains a number of heavy metals and radionucleotides (radioactive elements - mainly uranium-238, uranium-234, thorium-230, radium-226, radon-222, lead-210, and polonium-210).

Tanker transporting hydrofluorosilicic acid by The Harshaw Gang
Why 98% of European Communities Have Banned Water Fluoridation
Austria, Belgium, Denmark, Finland, France, Germany, Iceland, Italy, Luxembourg, Netherlands, Norway, and Sweden all ban water fluoridation - for five main reasons:
1. The preponderance of independent research reveals that fluoridation (at levels as low as 0.7 parts per million) increases the risk of hip fracture, liver and bone cancer and lowered IQ in children - as well as being strongly implicated in an American epidemic of hypothyroidism, arthritis and infertility. The concentration used in most American cities is 1.0 parts per million.
2. It 's an absolute violation of medical ethics for a doctor to prescribe a drug, in unlimited doses (people who eat processed foods or drink large amounts of fruit juice, soft drinks and tea get much higher doses), to someone they have never met, without informed consent or ongoing monitoring of their response.
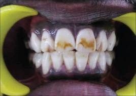
3. The World Health Organization has compared communities with and without water fluoridation and found the rate of cavities is no higher in communities who don't fluoridate their water (and doesn't increase when they remove it). In fact communities who don't fluoridate seem to have somewhat better dental health. Individuals who accumulate toxic levels of fluoride (known as dental fluorisis) actually have weaker tooth enamel. (Americans have the highest rate of dental fluorosis in the world - 33% overall and 41% in teenagers between 12-15). Research has consistently shown that fluoride only reduces tooth decay when it's applied directly to the teeth - drinking fluoride weakens the enamel.

Mild dental fluorosis by Fluoride dangers

Moderate Dental Fluorosis by Journal of Living Food and Healing

Severe fluorosis - imagine what the bones look like by The Health Journal Club
4. All medical and dental authorities worldwide agree that infants are at risk of fluoride toxicity if their formula is made up with fluoridated water (see http://www.fluoridealert.org/infant-warning.pdf). This poses a real health hazard to low income families, who can't afford the luxury of distilled water.
5. The vast majority of Europeans don't want fluoride in their water when the risks are explained to them. (The administration of any drug requires informed consent - and they don't consent.)
Thus far 60 US communities (as a result of citizen activism) have ended fluoridation of their public water system. For support in getting the fluoride out of your water go to http://www.fluoridealert.org/ There is also an excellent interview with Bryson regarding his book at http://www.fluoridealert.org/bryson.htm.
Author's Website: www.stuartbramhall.com
Author's Bio: I am a 63 year old American child and adolescent psychiatrist and political refugee in New Zealand. My recent memoir THE MOST REVOLUTIONARY ACT: MEMOIR OF AN AMERICAN REFUGEE www.stuartbramhall.com describes the circumstances that led me to leave the US seven years ago and start a new life in the South Pacific. Check out my blog at www.stuartbramhall.com






This is an excellent article on fluoridation and corporatocracy. We had mounted campaigns against such effects of modern civilisation including phosphatic fertilizers which have polluted our agricultural lands and water systems. We will use this really wonderful awareness builder in future. That the author is a political refugee we can perfectly understand. In our campaigns we have used books such as Gofman's, Bertell(No immediate danger) including my own researches. But see the leaders how they are going ahead with nuclear pollution, no regulation, endosulfan and in general modern civilisation. The struggle goes on.I will bring down my intake of tea by half to one black tea cup from now on. I eat only fresh fruits,drink no juices,no softs. We eat natural unchemicalised foods.